Hybrid SI Joint Fusion
with TransLoc 3D™

Combining the optimal fixation of a lateral compression screw with the highly porous intra-articular implant, TransLoc 3D™ Hybrid procedure offers advanced fixation and an ideal environment for fusion.

Why Choose the TransLoc 3D™
Hybrid Configuration?

Discover the advantages of combining lateral oblique plus intra-articular fixation for optimized SI joint fusion.

  • Enhanced Stability — Multi-planar fixation across and within the sacroiliac joint improves biomechanical strength.
  • Efficient, Minimally Invasive — Safe and streamlined surgical workflow.
  • Supports Bone Fusion — Implant’s macro/microporosity promotes long-term biological integration.
  • Precision Placement — Intra-articular implant is compressed in-line with screw trajectory for maximum fixation.
  • Custom-Fit Options — Variety of implant sizes to tailor treatment to each patient’s anatomy and diagnosis.

This short animation shows how the TransLoc 3D™ Hybrid procedure is designed to stabilize the SI joint and support long-term fusion. 

See How the TransLoc 3D™ HYBRID Works

The TransLoc 3D Hybrid SI Joint Fusion System employs a minimally invasive dual approach through two small incisions: one lateral oblique and one intra-articular. A highly porous titanium implant is placed within the SI joint, followed by a TransLoc 3D™ titanium screw that compresses and stabilizes the joint for immediate fixation and long-term fusion. This 3-dimensional hybrid design delivers strength, precision, and flexibility, helping to relieve SI joint pain while reducing tissue disruption and recovery time.

1. Transfixation of the Sacroiliac Joint:  Biomechanical Stability of a Dual-Implant Minimally Invasive Procedure; Antonio Valdevit, Ph.D., Steven Falowski, M.D., FAANS; SEA, Ltd., Columbus, OH, Argires-Marotti Neurosurgical Associates of Lancaster, Lancaster, PA

How the TransLoc 3D™ Hybrid
Procedure Is Performed

Combining simplicity with sophistication, learn how hybrid fixation supports long-term SI joint stability.

Step 1: Intra-Articular Implant Placement

Using fluoroscopic guidance, the porous intra-articular implant is inserted into the SI joint at the caudal apex to create an anchor point and ideal scaffold for biological fusion.

Step 2: Lateral Oblique Compression Screw Insertion

A TransLoc 3D™ screw is placed using a lateral oblique approach, compressing the joint onto the intra-articular implant.

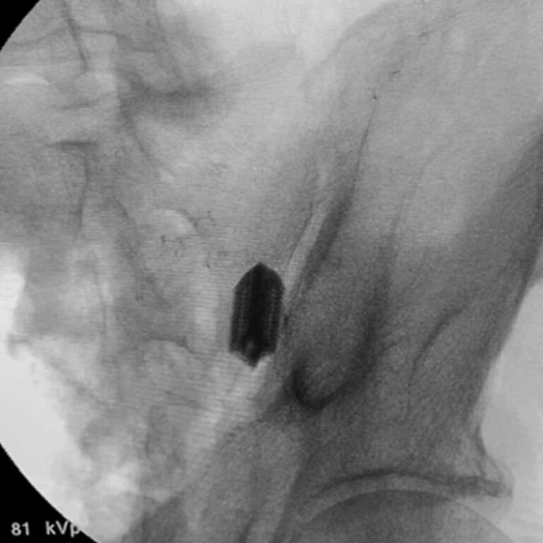
Step 3: Final Construct Evaluation

Fluoroscopy confirms implant and screw positioning. The compression threads draw the sacrum and ilium together, stabilizing the construct and promoting fusion.

One System. Multiple SI Joint Fusion Options.

TransLoc 3D™ provides unmatched versatility to meet the needs of real-world patients.

No two SI joints are the same. That’s why TransLoc 3D™ offers one of the most comprehensive SI joint fusion portfolios available, featuring multiple implant sizes and configuration choices. Whether using a standalone screw, a dual-screw construct, or the Hybrid Configuration, TransLoc 3D™ adapts to the patient’s unique anatomy and medical history.

Because personalized care demands personalized tools.

Real Stories. Real Relief.

Joe's Success

An avid dragon-boat racer and lifelong athlete, Joe began struggling with chronic lower-back pain that made paddling and even daily activities difficult. After trying injections and physical therapy with limited relief, he decided to undergo the TransLoc 3D™ Hybrid SI joint fusion procedure. Following treatment, Joe was able to return to the activities he enjoys most, including competing in dragon-boat races. Talk to your physician to learn whether TransLoc 3D™ Hybrid SI joint fusion could be an option for you.

Real Stories. Real Relief.

Henry's Success

A dedicated gardener and active grandfather, Henry began experiencing severe SI joint pain that made everyday tasks difficult, from bending and kneeling in the yard to simply standing up without discomfort. After years of injections and a previous implant that failed to provide lasting relief, he turned to the TransLoc 3D™ Hybrid SI joint fusion procedure. Within a week, Henry’s pain had resolved, allowing him to return to gardening, home projects, and enjoying time with his family. Talk to your physician to learn whether TransLoc 3D™ Hybrid SI joint fusion could be an option for you.

Hybrid SI Joint Fusion: FAQs

Answers to common questions about the
TransLoc 3D™ Hybrid procedure.

Q: How is the Hybrid approach different from traditional SI joint fusion?

A: The Hybrid technique combines lateral oblique screw fixation with an intra-articular implant placed directly into the joint space, providing enhanced stability and greater surface area for fusion.

A: Yes. The procedure is performed through two small incisions using fluoroscopic guidance, minimizing trauma and reducing recovery time.

A: Most patients experience improved mobility and immediate pain relief, with full healing and fusion expected to occur over several months.

A: Many major insurance providers, including Medicare, offer coverage for SI joint fusion procedures. Consult with your physician to confirm local coverage.

Find A Physician Near You

If you would like to contact a physician to discuss whether an SI joint
fusion procedure using a CornerLoc™ solution, we can help.

This website uses cookies to enhance user experience and analyze performance and traffic. We also share information about your site use with our social media, advertising, and analytics partners. You can learn more about cookies by clicking “Privacy Policy.”